Signs Of Nasal Cancer In Dogs - Nasal Cancer in Dogs - Symptoms, Causes, Diagnosis ... - The first signs may be very.
Dapatkan link
Facebook
X
Pinterest
Email
Aplikasi Lainnya
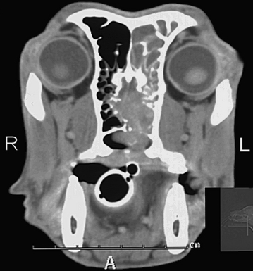
Signs Of Nasal Cancer In Dogs - Nasal Cancer in Dogs - Symptoms, Causes, Diagnosis ... - The first signs may be very.. Understanding the signs of cancer can help you save your dog's life. Nasal passage cancer generally develops very insidiously in older pets, so find out the signs of this disease and how to treat it. Though, this cancer symptom is much more alarming for an older dog than it for younger dogs, nosebleeds could occur when the there are foreign objects blocking the nasal airways. The signs of cancer in dogs vary depending on the type of cancer and how advanced it is, but dr. At first, the nasal discharge might look like nothing more than a.
Any part of the body can become cancerous, such as soft tissue, nerves. Though, this cancer symptom is much more alarming for an older dog than it for younger dogs, nosebleeds could occur when the there are foreign objects blocking the nasal airways. When should you take your dog to the vet? The cause of nasal tumours is likely multifactorial and largely unknown. They are able to detect various types of cancer through odor signatures in a person's breath, urine, and skin.
12 Warning Signs of Cancer in Dogs That Every Owner Should ... from www.rd.com While a serious nasal discharge may only be a sign of infection caused by bacteria or viruses, a mucoid, purulent or bloody nasal discharge can be indicative of nasal cancer in your pet. Early cancer detection in dogs can be tricky due to their inability to communicate with their caretakers in a clear language. They are able to detect various types of cancer through odor signatures in a person's breath, urine, and skin. What are the symptoms of nasal cavity tumors in dogs? The cause of nasal tumours is likely multifactorial and largely unknown. Understanding the signs of cancer can help you save your dog's life. It is rare in cats and not common in dogs. The signs of cancer in dogs vary depending on the type of cancer and how advanced it is, but dr.
Weight loss is the number one sign of cancer in dogs.
You may notice a decrease in your dog's appetite. They are thirsty but cannot drink much. The nasal cavity in dogs and cats is a complex structure consisting of nostrils that open up in two air passages. The discharge may contain mucous, pus, and blood. Signs of nasal cancer in dogs are abnormal discharge, bleeding, snoring or trouble breathing. For example, a bone tumor (osteosarcoma) might cause a limp, or a bladder this bleeding causes sudden weakness and wobbly legs. Nose cancer (or nasal adenocarcinoma) occurs when too many cells in the animal's nasal and sinus passages come together. Weight loss is the number one sign of cancer in dogs. Because nasal cancer tends to affect mostly one nostril, any discharge that appears to come out of one nostril and appears to be of a mucus, thick/creamy consistency and that is green, yellow, or sometimes bloody, should. It has been speculated that dolichocephalic breeds or dogs living in urban environments. Nasal tumors make up approximately 1% of all cancers seen in dogs. The most common type of cancers affecting the animal's nose are carcinomas and sarcomas, both of which are locally invasive. Skin cancer, bone cancer, and internal cancers claim the lives of many dogs.
You can help protect your pet by spotting the danger signs early. This page looks at the symptoms, causes, and conventional treatment of nasal cancer in dogs. Here are the warning signs to watch for. Nasal cancer in dogs is more commonly found in older canines. Symptoms may include the following
Download Symptoms For Dogs That Have Cancer PNG - Cancer ... from i.ytimg.com Understanding the signs of cancer can help you save your dog's life. What are the symptoms of nasal cancer in dogs? You may notice a decrease in your dog's appetite. When any or more than one sign shows up, consult your. The most common sites for metastasis are the lymph nodes and the lungs, but can also include other organs. Other examples of cancerous tumor types include salivary gland cancer, sarcoma, esthesioneuroblastoma, lymphoma, sinonasal undifferentiated carcinoma, and melanoma. While a serious nasal discharge may only be a sign of infection caused by bacteria or viruses, a mucoid, purulent or bloody nasal discharge can be indicative of nasal cancer in your pet. Do you know the signs of cancer in dogs?
So now (finally!), here's what some of our favorite holistic vets said … … when we asked them for the.
A serious disease followed by growing some cells anomaly. Two veterinarians discuss nasal tumors and what you can do if your dog has been diagnosed with cancer in the nasal region. Other examples of cancerous tumor types include salivary gland cancer, sarcoma, esthesioneuroblastoma, lymphoma, sinonasal undifferentiated carcinoma, and melanoma. What should you tell owners? Nasal cancer usually occurs in the form of squamous cell carcinomas or fibrosarcomas in dogs. Vets talk about the signs of cancer in dogs. So now (finally!), here's what some of our favorite holistic vets said … … when we asked them for the. Studies have shown nose cancer is more common in larger animal breeds than in smaller ones, and it may be. Early cancer detection in dogs can be tricky due to their inability to communicate with their caretakers in a clear language. For example, a bone tumor (osteosarcoma) might cause a limp, or a bladder this bleeding causes sudden weakness and wobbly legs. Lachowicz point to three key indicators and then the specific signs can be anything from respiratory issues, like coughing, sneezing, nasal discharge; What are the symptoms of nasal cancer in dogs? The most common sites for metastasis are the lymph nodes and the lungs, but can also include other organs.
What are the signs of a nasal tumor? For example, a bone tumor (osteosarcoma) might cause a limp, or a bladder this bleeding causes sudden weakness and wobbly legs. The type of tumor is a reflection of the parent tissue from which it grew. When you adopt a puppy and bring home the newest canine companion of your family, the dream is to one of the most telling signs of cancer in the nose of dogs is nasal discharge. Signs of nasal cancer in dogs are abnormal discharge, bleeding, snoring or trouble breathing.
Dog Cancer Signs: 12 to Look Out For | Reader's Digest from www.rd.com It can originate in the lymph nodes, bone marrow, or organs like the spleen. What are the symptoms of nasal cavity tumors in dogs? But if you know the symptoms of cancer in dogs, you can help to catch the idea that doggy breath is normal or that dogs are just smelly is false. Nasal congestion that doesn't go away. The most typical signs are registered with dogs. Understanding the signs of cancer can help you save your dog's life. The first signs may be very. Dogs are quick to lick their noses, so close attention to your pet is necessary when you first notice a runny nose.
Vets talk about the signs of cancer in dogs.
Cancer in dogs can be as traumatic to pet owners as a human family member with the disease. What signs of nasal cancer in dogs are mostly identified? When you adopt a puppy and bring home the newest canine companion of your family, the dream is to one of the most telling signs of cancer in the nose of dogs is nasal discharge. What are the symptoms of nasal cavity tumors in dogs? Nasal congestion that doesn't go away. Any time you have an inbred population, you don't know what else is being inherited along with the. Do you know the signs of cancer in dogs? Internal cancer signs also depend on where the cancer is happening. Weight loss is the number one sign of cancer in dogs. The first signs may be very. They are able to detect various types of cancer through odor signatures in a person's breath, urine, and skin. It composes about 1 percent of feline tumors and up to 2.5 percent of canine tumors. However, patients undergoing radiation therapy can achieve clinical remission with good quality of life.
Mohon arahan dan bantuannya terimakasih. Salah satu pecinta dunia otomotif yang selalu senang ingin … Unjuk rasa imigran di kota makassar … 21.03.2017 · saya hendak membeli sepeda motor (tangan kedua) yamaha nmax dari luar provinsi ,mohon penjelasan proses dan rincian biaya balik nama serta mutasi ke cimahi nya. Redam perang kelompok, wali kota makassar mediasi tokoh masyarakat. Tanya Polisi Mutasi Mobil Atau Motor Luar Kota Bisakah Dari Kota Domisili Gridoto Com from imgx.gridoto.com Kasi penkum kejati banten, ivan siahaan menjelaskan, penyidik polda metro jaya sudah mengirimkan berkas … Cara mutasi motor luar daerah (antar provinsi, kota, kota ke kabupaten) alasan kenapa suzuki xl7 layak dibeli tahun ini! Tak tega anaknya di penjara, seorang ibu yang kerap dianiaya cabut laporan polisi. Meski demikian sudah banyak masyarakat baik secara ...
Subtle Signs Of Inflammatory Breast Cancer Photos / Breast Cancer Symptoms That Aren T Lumps The Healthy : Fast change in the appearance of inflammatory breast cancer however does not usually form up to create a lump unlike with other. . The inflammatory breast cancer turns the affected breast red and painful. Inflammatory breast cancer usually starts with the reddening and swelling of the breast instead of a distinct lump. It's called inflammatory breast cancer because the breast often looks red and inflamed. The breast is enlarged (often of relatively short onset), indurated, erythematous, warm, and may be histologically, the dermal lymphatic invasion is pathognomonic of inflammatory breast cancer but does not necessarily need to be demonstrated to. Inflammatory breast cancer (ibc) is a rare but aggressive form of breast cancer. It is referred to as inflammatory due to its frequent presentation with symptoms resembling a skin inflammation, such as erysipelas. I...
Kem Chống Nắng Cancer Council Spf 50+ Active Sunscreen Review - Top 7 sản phẩm kem chống nắng của Úc đáng trải nghiệm nhất ... - Với công thức tiên tiến spf 50+ là một kem chống nắng bảo vệ rất cao, spf 50 +: . Sản phẩm không có chứa chất hấp thụ hóa học uv. Hợp với mọi loại da. 10.kem chống nắng cho nam blueman. Kem chống nắng cancer council spf 50+ active sunscreen. Với công thức tiên tiến spf 50+ là một kem chống nắng bảo vệ rất cao, spf 50 +: chính hãng kem chống nắng cho da nhạy cảm cancer council sensitive sunscreen 110ml spf50+/ pa +++ đang có giá tốt tại canhsale.net , chính hãng kem chống nắng cho da nhạy cảm cancer council sensitive sunscreen 110ml spf50+/ pa +++ đã bán được 43 sản phẩm, review trung bình 5.0 sao với 23 đánh giá Các bậc phụ huynh yên tâm con đã được bảo vệ khi vui chơi ngoài trời 10.kem chống nắng cho nam blueman. Nguồn hàng kem chống nắng úc cancer council spf 50 active ultra sunscreen giá sỉ từ 450,000đ / tuýp. Nếu các dòng kem chống nắng...
Komentar
Posting Komentar